
Si un toux persistante est généralement le signe d’une affection respiratoire sérieuse, en 2013, des médecins ont décrit un cas définitivement rare, causé par l’ingestion d’un minuscule jouet des décennies plus tôt.
« Chantier » pulmonaire
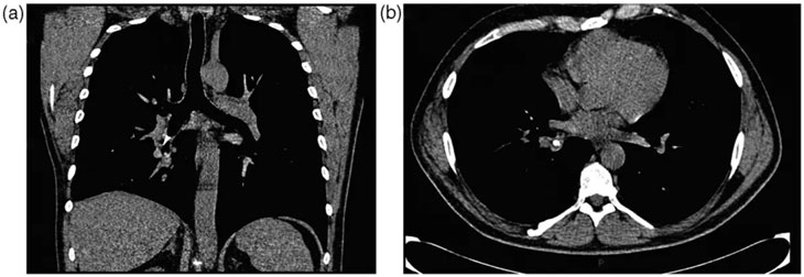
Hospitalisé pour des infections pulmonaires répétées, l’homme âgé d’une quarantaine d’années avait bénéficié de plusieurs interventions visant à drainer le liquide s’accumulant dans ses voies respiratoires. Des examens complémentaires, notamment un scanner, ont révélé la présence d’une masse à la forme étrange à la base de son poumon droit.
Alors qu’ils pensaient initialement avoir affaire à une sécrétion calcifiée, les médecins ont découvert avec étonnement qu’il s’agissait en réalité d’un cône de signalisation miniature. Interrogé à ce sujet, le patient s’est souvenu avoir avalé le jouet lorsqu’il n’avait que 6 ans.
Comme on peut aisément l’imaginer, la partie la plus délicate a consisté à « évacuer » ce corps étranger. Le passage d’une caméra fine et flexible dans son poumon a confirmé l’impossibilité de l’extraire directement, obligeant les médecins à recourir à une lobectomie afin de retirer la partie affectée de l’organe.
L’examen des tissus pulmonaires prélevés a révélé des zones ayant essentiellement fusionné en raison de l’inflammation constante. De façon assez remarquable, aucune complication post-opératoire n’a été rapportée.

Une probable migration depuis l’œsophage
Selon les auteurs du rapport, publié dans la revue JRSM Open, les corps étrangers peuvent obstruer l’arbre trachéo-bronchique en migrant depuis des sites éloignés tels que l’œsophage.
« Ils peuvent longtemps échapper à la détection en raison d’incohérences dans les antécédents cliniques », détaillaient-ils. « Si la phase initiale se déroule sans incident, l’enfant peut passer à la seconde en étant asymptomatique et développer plus tard des changements inflammatoires chroniques et des épisodes récurrents d’infection, évoluant vers une bronchectasie. »
Pour rester dans le domaine des cas médicaux insolites, en 1996, une Américaine avait eu la lumineuse idée de s’injecter, littéralement, l’une des araignées venimeuses les plus célèbres au monde, avec des conséquences désastreuses.